치료과정
치아를 뽑는 환자(발치교정)의 경우,
아래의 세 단계로 진행되며, 치아를 뽑지 않는 환자(비발치교정)의 경우
두번째 과정인 공간폐쇄 과정이 생략되며, 다른 과정은 동일합니다.
장치가 장착된 후에는 보통 4-5주 간격으로 내원하시게 됩니다.
외국에 나가시거나 지방에서 올라오시는 경우, 군입대중인 경우, 공간폐쇄의 과정에서 2-3달 정도의 간격으로 내원도 가능합니다.
아래의 세 단계로 진행되며, 치아를 뽑지 않는 환자(비발치교정)의 경우
두번째 과정인 공간폐쇄 과정이 생략되며, 다른 과정은 동일합니다.
장치가 장착된 후에는 보통 4-5주 간격으로 내원하시게 됩니다.
외국에 나가시거나 지방에서 올라오시는 경우, 군입대중인 경우, 공간폐쇄의 과정에서 2-3달 정도의 간격으로 내원도 가능합니다.
-
01
치아의 배열과정 (Leveling and alignment) -
-
배열과정 전
-
배열과정 후
이 단계의 목표는 잘못 배열된 치아들을 가지런하게 위치시키는 것으로,
비뚤비뚤한 덧니가 심한경우 치아의 배열에 필요한 공간을 먼저 확보해줘야 합니다.
뻐드러진 치아를 바로 세우고, 회전되어 있는 치아를 돌리며, 높낮이가 다른 치아들의 높이를 맞춰주어
배열과정이 완료시 치아들이 동일 수평면상에 놓이도록 해주는 과정입니다.
치아를 뽑는 경우, 뽑은 공간으로 인접한 치아를 이동시켜 공간을 확보하며, 치아를 뽑지 않는 경우, 어금니를 후방이동 시키거나
앞니를 전방이동시켜 확장해주는 방법을 통해 배열할 공간을 마련합니다. 치아 크기를 줄여주어 공간을 확보하기도 합니다.
평균 3개월에서 6개월의 기간이 소요됩니다. -
-
02
공간폐쇄 과정 (space closure) -
-
공간폐쇄과정 시작
-
공간폐쇄과정 중간
-
공간폐쇄과정 후
치아를 뽑은 공간을 없애주는 과정입니다.
앞니를 뒤쪽으로 이동시키는 양과 어금니를 앞쪽으로 이동시키는 양의 조절 여부와 앞니의 적절한 각도 유지가 치료 후
심미적인 안모형성에 매우 중요합니다. 이를 가능하게 하는 것이 고정원유지 (강화) 라 하여 숙련된 교정의사의 기술과 경험에 따라
크게 좌우됩니다. 공간폐쇄 과정에서 흔히 생길 수 있는 잇몸노출이 증가되는 경향과 치아가 안쪽으로 들어가 보이는
양상 방지를 위한 기술도 요구됩니다. 평균적으로 8-9개월 정도의 기간이 소요됩니다. -
-
03
마무리 (Finishing) -
-
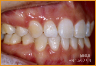
배열과정 전
-
배열과정 후
치료의 마지막 과정으로, 치아 뿌리들의 평행확립, 앞니의 각도조절, 위,아래 치아의
치아배열 과정과 공간폐쇄 과정에서와 같이 환자분들 눈에 띄는 확연한 변화가 보이지 않고 치료의 마지막 단계라 환자분들이 지쳐하는 단계지만,
중심선 불일치 수정, 위아래 치아의 긴밀한 맞물림 등의 과정을 수행합니다.
1-3개월 정도의 기간으로 가능한 위,아래 치아의 긴밀한 교합을 형성하는데 필수적이며 치료후 안정성을 증대시킬 수 있습니다. -



