성장기 턱교정
위턱뼈의 성정과 아래턱뼈의 성장에 부조화가 있는 경우 위턱과 아래턱뼈의 성장을 조절하여 주걱턱과 무턱,
얼굴비대칭이 되는 것을 방지하기 위한 교정입니다.
-
01
원인 및 증상 -
위턱이 아래턱에 비해 과도한 성장을 한 경우, 골격성 II급 부정교합이라 하며,
옆에서 본 모습 뿐 아니라, 정면모습에서 좌우 턱뼈의 길이가 다른 경우, 안모의 비대칭이라 하여, 안좋은 구내습관이나,
위턱의 과다성장이나, 아래턱의 성장부족이 원인입니다.
반대로 아래턱이 위턱에 비해 과도한 성장을 한 경우, 골격성 III급 부정교합이라 하며,
위턱의 성장부족이나, 아래턱의 과다성장이 원인입니다
치아의 조기탈락, 비기능적인 치아의 맞물림등이 원인입니다.
-
02
치료방법 -
부정교합의 원인 및 양상에 따라 시기가 다르며, 가장 중요한 것은 치료시기를 놓치치 않는 것입니다.
activator, FR 같은 악기능장치나 Face mask, chin-cap, Head gear 같은 구외장치를 이용한 턱성장조절치료를 시행하며, 환자의 협조도가 매우 중요합니다.
아랫니가 윗니 앞쪽으로 거꾸로 물리는 경우, 턱이 삐뚤어진 경우, 주걱턱이 있는 경우는
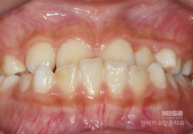
가급적 조기인 초등학교 1, 2학년(만 7세 전후) 때, 치료를 시작해야 합니다.CASE 01
-
Before
-
After
-
Before
-
After
CASE 02
-
Before
-
After
-
Before
-
After
CASE 03
-
Before
-
After
-



