벌어진 치아
-
01
원인 및 증상 -
치아에 비해 치아를 담고 있는 뼈(치조골)의 크기가 상대적으로 클 때,
반대로 치아의 크기가 치조골보다 작을 때, 치아수가 부족하거나 빠진경우,
잇몸이 안좋은 성인 치주질환 환자에서 나타납니다.
-
02
치료방법 -
여러곳에 흩어져있는 공간을 한,두 곳으로 모은 후 치아를 이동시켜 공간을 페쇄합니다.
종종 치아 크기 비율이 맞지 않을 경우 (한쪽의 치아가 매우 작은 경우)나
이때 위쪽 치아와 아래쪽 치아와의 크기가 정상범주안에 있어야 합니다.
결손된 치아가 있는 경우 교정적으로 치아의 이동만으로 공간을 완전히 폐쇄하는 것이 어려운 경우도 있습니다. 이럴 경우,
큰 치아를 삭제하여 작게 만들거나, 작은 치아의 크기를 증가시키는 방법을 사용하기도 합니다.CASE 01
-
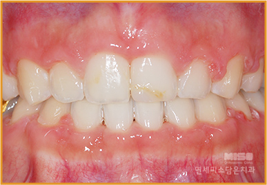
Before
-
After
CASE 02
-
Before
-
After
CASE 03
-
Before
-
After
-



